Атравматичная подготовка к имплантации
Описание
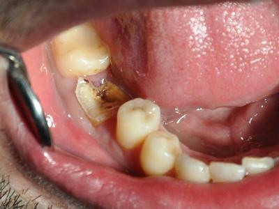
Пациент 30 лет обратился к нам в клинику с болью в зубе. После проведенного рентгенологического обследования (Фото №3) выяснено, что зуб восстановлению не подлежал, и было принято решение удалить его и через 1,5 - 2 месяца поставить имплантант. Когда речь идет об имплантантах, удаление должно быть крайне атравматично, чтобы максимально сохранить кость вокруг удаленного зуба. Данный зуб был распилен пополам (Фото №4), и специальными инструментами (остеотомами) на вид похожими на отвертки, удалены корни зуба (Фото №6). Был нанесен специальный гель Аргакол (Фото №2), который не только обладает антибактериальный эффектом, но быстрым ранозаживляющем действием. На первом фото лунка удаленного зуба через сутки. Отсутствие боли и воспаления.